
Wenn Sie den Bauch Ihres Hundes streicheln und plötzlich feststellen, dass er ungewöhnlich hart, fest oder sogar schmerzhaft ist, ist dies ein Grund für sofortige Aufmerksamkeit. Der Bauch eines Hundes ist in der Regel weich, wenn er ruhig ist. Wenn er plötzlich hart „wie eine Trommel“ wird, kann dies auf eine ernsthafte Störung der inneren Organe hinweisen. Das Tier kann es vermeiden, berührt zu werden, es kann winseln, seine Haltung ändern, sich mit zusammengerollten Pfoten hinlegen oder umgekehrt unruhig herumlaufen.
Ein harter Bauch bei einem Hund kann verschiedene Ursachen haben, von denen einige lebensbedrohlich sind. Nachfolgend finden Sie die häufigsten Szenarien, auf die sowohl Tierärzte als auch Hundefriseure in unserem Netzwerk stoßen, wenn sie zum ersten Mal Veränderungen im körperlichen Zustand eines Hundes feststellen.
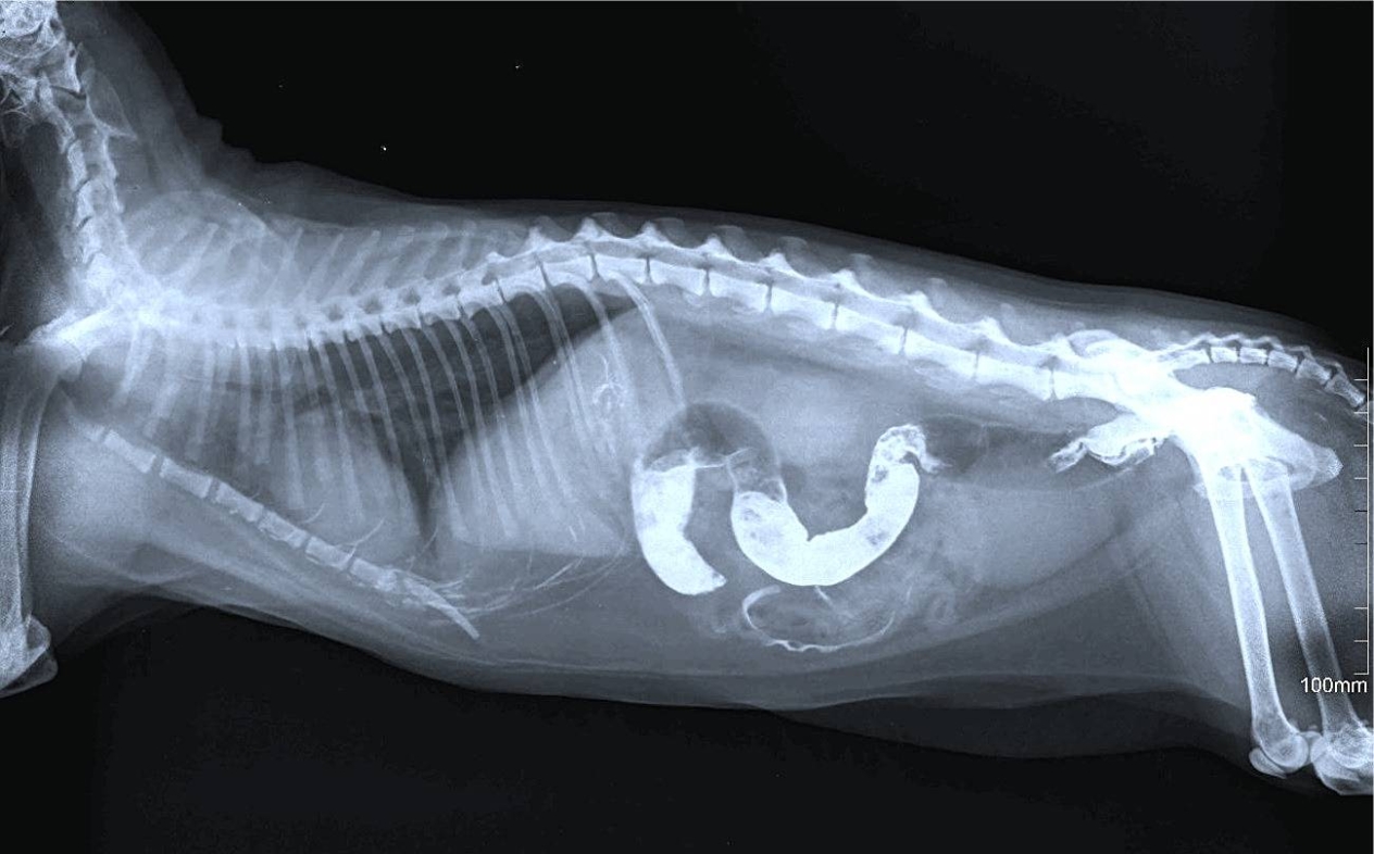
Magentorsion – ein kritischer Zustand, der sofortige Behandlung erfordert
Eine Magendrehung (Torsion) ist ein akuter und sehr gefährlicher Zustand, der bei Hunden großer Rassen mit tiefem Brustkorb häufiger vorkommt. Nach aktivem Spielen oder schnellem Fressen dehnt sich der Magen durch Gas oder Nahrung aus und dreht sich dann um seine Achse. Infolgedessen wird die Blutzufuhr unterbrochen und das Organ beginnt abzusterben.
So sieht das aus:
– Der Magen schwillt schnell an und wird sehr hart;
– der Hund speichelt, versucht zu erbrechen, aber ohne Erfolg;
– das ängstliche Verhalten geht in eine Depression über.
Dies ist eine Notfallsituation. Sie können nicht warten – Sie müssen sofort zum Tierarzt gehen. Jede Minute zählt.
Aufgeblähter Bauch – das Ergebnis des Verschluckens von Gas und Luft
Eine weniger gefährliche, aber dennoch unangenehme Ursache für einen harten Bauch ist eine Blähung. Sie kann nach einer schnellen Nahrungsaufnahme, dem Trinken von viel Wasser oder einem Übermaß an schwerem Futter auftreten. Es passiert auch, wenn ein Hund zu gierig frisst und Luft schluckt.
Wie es aussieht:
– Der Bauch ist leicht aufgebläht, angespannt, aber nicht sehr schmerzhaft;
– Aufstoßen und Keuchen sind möglich;
– das Verhalten bleibt stabil oder ist leicht reduziert.
In diesem Fall helfen Beruhigung, leichtes Gehen und Massagen. Wenn das Problem anhält, sollte das Fütterungsmuster unbedingt geändert und ein Arzt konsultiert werden, um ernsthafte Probleme auszuschließen.
Aszites – Ansammlung von Flüssigkeit in der Bauchhöhle
Wenn der Bauch hart und vergrößert ist und ‚von unten aufgebläht‘ aussieht, kann es sich um Aszites handeln – eine Flüssigkeitsansammlung in der Bauchhöhle. Dafür kann es viele Ursachen geben: Herzerkrankungen, Lebererkrankungen, Nierenerkrankungen, onkologische Erkrankungen oder Traumata.
Wie es aussieht:
– der Bauch ist gerundet, angespannt, manchmal „hängt er herunter“;
– das Tier ist lethargisch, hat wenig Appetit und manchmal kommt es zu Atemnot;
– beim Drücken kann Flüssigkeit im Inneren des Bauches ertastet werden.
Aszites ist im Hier und Jetzt nicht immer kritisch, erfordert aber einen medizinischen Eingriff. Der Arzt wird eine Ultraschalluntersuchung anordnen, Tests durchführen und die Ursache ermitteln.
Tumore oder Wucherungen – nicht immer sofort erkennbar
Ein hartes oder asymmetrisch vergrößertes Abdomen kann auch auf das Vorhandensein von Tumoren in der Bauchhöhle hinweisen. Dabei kann es sich entweder um gutartige oder bösartige Prozesse handeln. Sie wachsen oft allmählich und der Besitzer bemerkt nur Veränderungen in der Form des Bauches oder eine Reaktion auf Berührung.
Wonach es aussieht:
– Der Bauch ist ständig hart, es gibt eine Ausbuchtung oder Asymmetrie;
– Gewichtsverlust ist aufgrund eines vergrößerten Bauches möglich;
– verminderte Aktivität, Lethargie, Veränderungen im Essverhalten.
In solchen Fällen ist eine umfassende Untersuchung erforderlich: Ultraschall, Biopsie, Tests. Bitte zögern Sie nicht – eine frühe Diagnose kann das Leben Ihres Tieres retten.
Schlussfolgerungen.
Ein harter Bauch bei einem Hund ist kein Symptom, das ignoriert werden kann. Von der banalen Blähung bis zur tödlichen Torsion gibt es viele Ursachen und nur ein Spezialist kann genau feststellen, was mit Ihrem Schwanz los ist. Wenn Sie Formveränderungen, Spannungen oder Schmerzen im Bauchraum bemerken, zögern Sie nicht, Ihren Tierarzt aufzusuchen. Das Wichtigste bei der Sorge um die Gesundheit Ihres Hundes ist Ihre Aufmerksamkeit und eine rechtzeitige Reaktion.

